To view additional images, please click on the thumbnails.
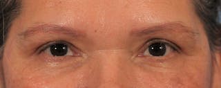
Patient received an Upper and Lower Blepharoplasty, Fat Transfer to cheeks, tear troughs, and nasolabial folds and an Extended Deep Plane Lower Face Lift and Deep Neck Lift. Shown here 4 months after procedure.









































































