-
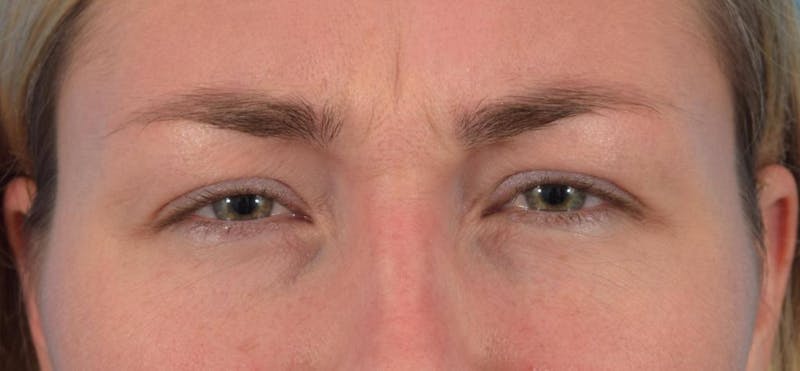
Neuromodulators (Botox, Dysport...)
To view additional images, please click on the thumbnails.
To view additional images, please click on the thumbnails.
© Frankel Facial Plastic Surgery. All Rights Reserved. Web Design & Internet Marketing by Studio III